Simplify your online presence. Elevate your brand.

Midrc Covidx Challenge Midrc

Covidx Challenge Midrc
Covidx Challenge Midrc

Covidx Challenge Midrc Midrc’s first grand challenge has concluded. the test phase ended november 7, 2022 and winners were announced at the 2022 rsna annual meeting. This repo contains files and data associated with midrc grand challenges. each top level folder in this repo represents an individual challenge. please see the readme.md file within each folder to learn more about each challenge.

Collaborators Midrc
Collaborators Midrc

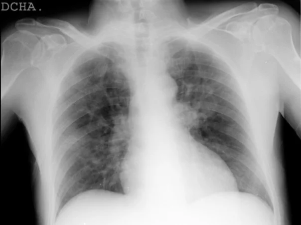
Collaborators Midrc The midrc mrale mastermind grand challenge revealed the potential of ai to assess covid 19 severity from portable cxrs, demonstrating promising performance against the reference standard. Using the medici challenge platform, participants submitted their trained algorithms encapsulated in docker containers. algorithms were evaluated by the challenge organizers on 814 test cases through two performance assessment metrics: quadratic weighted kappa and prediction probability concordance. This article reviews some of the challenges and potential solutions to advance the field forward, with focus on the experience gained by hosting image based competitions. A second midrc grand challenge on covid severity is in the works and will likely kick off in the spring of 2023.

Midrc Data Midrc
Midrc Data Midrc

Midrc Data Midrc This article reviews some of the challenges and potential solutions to advance the field forward, with focus on the experience gained by hosting image based competitions. A second midrc grand challenge on covid severity is in the works and will likely kick off in the spring of 2023. Conclusions: the midrc mrale mastermind grand challenge revealed the potential of ai to assess covid 19 severity from portable cxrs, demonstrating promising performance against the reference standard. Rsna’s contribution to midrc includes the rsna international covid 19 open radiology database (ricord), a substantial body of imaging data with annotations and supporting clinical information for use in education and research. Please join us in congratulating the winners listed below and in thanking spie (the international society for optics and photonics) for their generous financial support. a seminar about this challenge is on our channel!. Contribute to midrc midrc grand challenges development by creating an account on github.

Midrc Covidx Challenge Midrc
Midrc Covidx Challenge Midrc

Midrc Covidx Challenge Midrc Conclusions: the midrc mrale mastermind grand challenge revealed the potential of ai to assess covid 19 severity from portable cxrs, demonstrating promising performance against the reference standard. Rsna’s contribution to midrc includes the rsna international covid 19 open radiology database (ricord), a substantial body of imaging data with annotations and supporting clinical information for use in education and research. Please join us in congratulating the winners listed below and in thanking spie (the international society for optics and photonics) for their generous financial support. a seminar about this challenge is on our channel!. Contribute to midrc midrc grand challenges development by creating an account on github.

Midrc Covidx Challenge Midrc
Midrc Covidx Challenge Midrc

Midrc Covidx Challenge Midrc Please join us in congratulating the winners listed below and in thanking spie (the international society for optics and photonics) for their generous financial support. a seminar about this challenge is on our channel!. Contribute to midrc midrc grand challenges development by creating an account on github.

Midrc Covidx Challenge Midrc
Midrc Covidx Challenge Midrc

Midrc Covidx Challenge Midrc

Comments are closed.