Simplify your online presence. Elevate your brand.

Hashimoto Thyroiditis Pathology Student

Hashimoto Thyroiditis Pathology Student
Hashimoto Thyroiditis Pathology Student

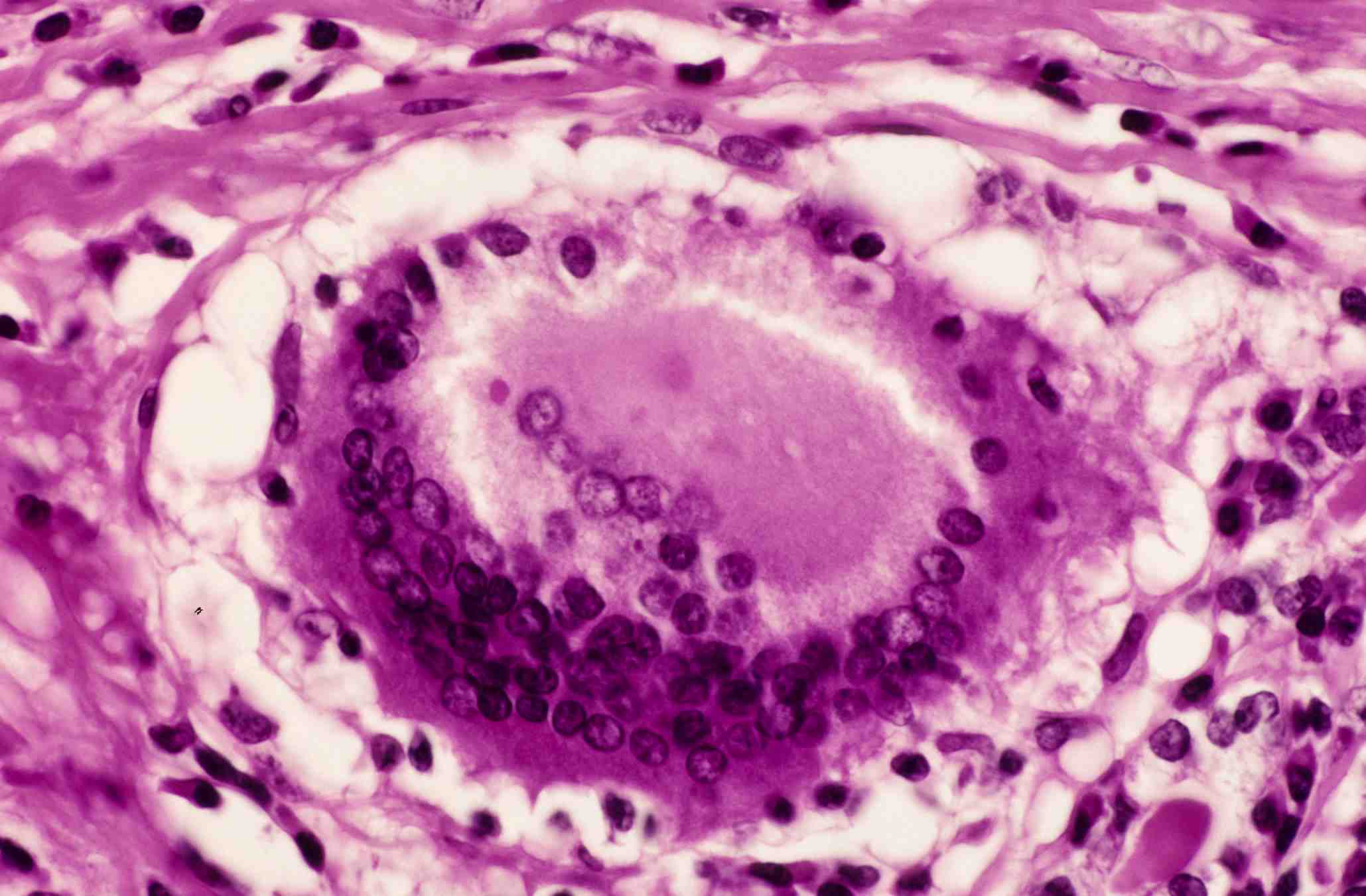
Hashimoto Thyroiditis Pathology Student There are four kinds of thyroiditis: hashimoto, subacute granulomatous, lymphocytic, and fibrosing. the most common of these, by far, is hashimoto thyroiditis. hashimoto is an autoimmune disease in which the patient’s own immune system attacks and slowly destroys the thyroid gland. Hashimoto thyroiditis is a prototype of autoimmune disease presenting with goiter, elevated circulating antithyroid antibodies, often with hypothyroidism.

Hashimoto S Thyroiditis Pathology Made Simple
Hashimoto S Thyroiditis Pathology Made Simple

Hashimoto S Thyroiditis Pathology Made Simple Hashimoto’s thyroiditis (ht) represents a complex, multifactorial autoimmune disease characterized by a broad spectrum of clinical and imaging presentations. these manifestations tend to be clinically perplexing, necessitating additional tests. What is the pathogenesis of hashimoto’s thyroiditis and how does this disease differ from grave’s disease or nutritional goiter? hashimoto's thyroiditis is characterized by iymphocytic infiltration of the thyroid gland and production of antibodies that recognize thyroid specific antigens. Hashimoto's thyroiditis hashimoto's thyroiditis, also hashimoto's disease, is an inflammatory (autoimmune disorder) of the thyroid gland that causes hypothyroidism. Webpathology is an educational resource with high quality pathology images of benign and malignant neoplasms and related entities. it was launched in 2003 by dr. dharam ramnani, with an initial focus on urologic pathology.

Subacute Granulomatous Thyroiditis Pathology Student
Subacute Granulomatous Thyroiditis Pathology Student

Subacute Granulomatous Thyroiditis Pathology Student Hashimoto's thyroiditis hashimoto's thyroiditis, also hashimoto's disease, is an inflammatory (autoimmune disorder) of the thyroid gland that causes hypothyroidism. Webpathology is an educational resource with high quality pathology images of benign and malignant neoplasms and related entities. it was launched in 2003 by dr. dharam ramnani, with an initial focus on urologic pathology. Presentation on hashimotos thyroiditis, a brief introduction to innate and adaptive immunity, auto immunity, autophagy along with the pathophysiology of the disease and its complications download as a pptx, pdf or view online for free. A relationship between hashimoto's thyroiditis and a possible malignant transformation has been proposed in several studies and involves immunological hormonal pathogenic links although specific correlation is still debated and needs to be further investigated with prospective studies. Recognizing the different types of hashimoto thyroiditis and its variable appearances is significantly important in performing and interpreting thyroid ultrasound imaging. Background: hashimoto’s thyroiditis (ht) is an autoimmune disease exhibiting stromal fibrosis and follicular cell destruction due to lymphoplasmacytic infiltration.

Comments are closed.