Simplify your online presence. Elevate your brand.

Hashimoto S Thyroiditis Pathology Made Simple

Hashimoto Thyroiditis Pathology Student
Hashimoto Thyroiditis Pathology Student

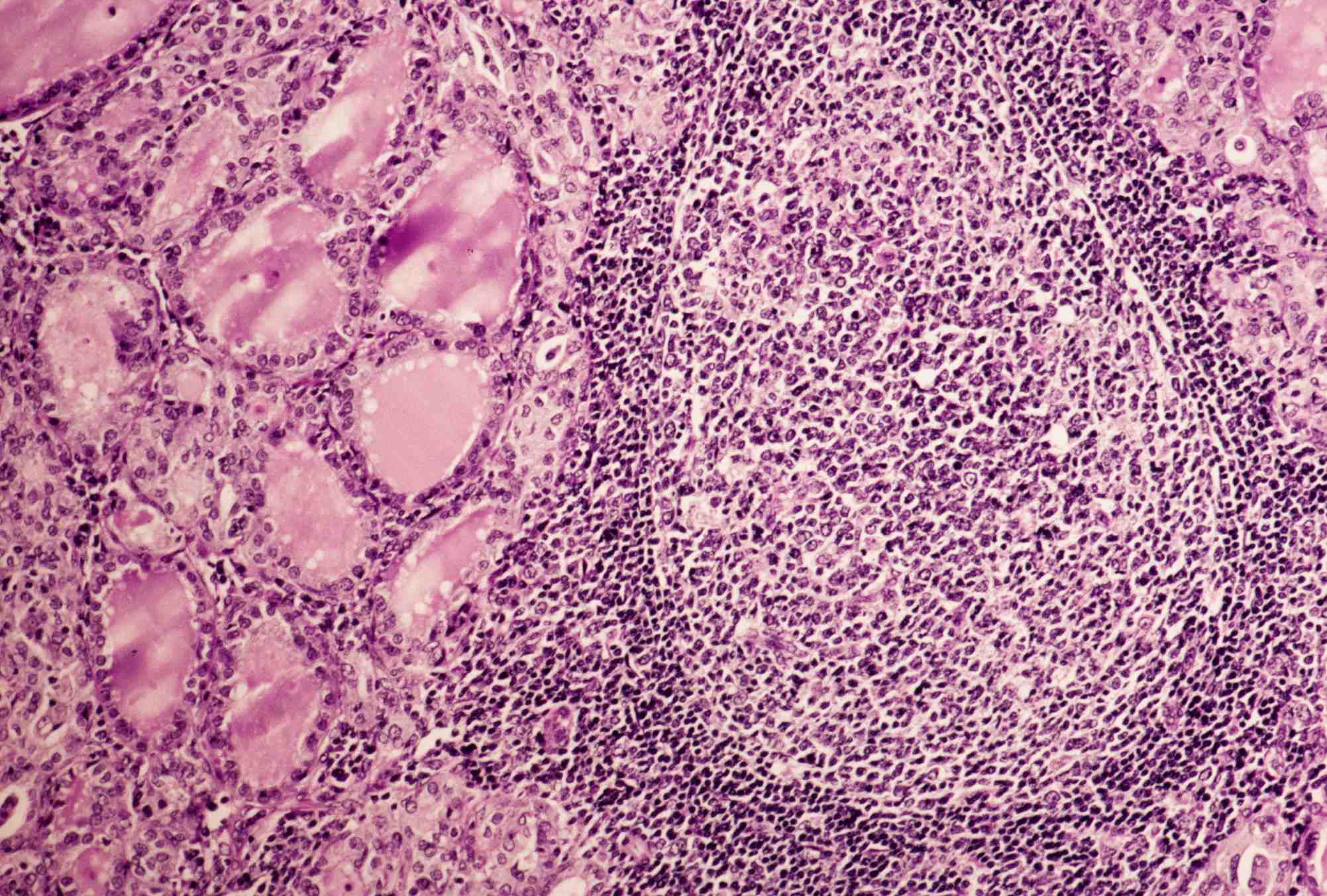
Hashimoto Thyroiditis Pathology Student Hashimoto thyroiditis is a prototype of autoimmune disease presenting with goiter, elevated circulating antithyroid antibodies, often with hypothyroidism. Many of the follicular epithelial cells show evidence of degeneration in the form of a “swollen cell” . this cell is called as hurthle cell. sometimes referred to as oncocytes oxyphilic cells.

Hashimotos Thyroiditis Pathology Made Simple
Hashimotos Thyroiditis Pathology Made Simple

Hashimotos Thyroiditis Pathology Made Simple Hashimoto's thyroiditis hashimoto's thyroiditis, also hashimoto's disease, is an inflammatory (autoimmune disorder) of the thyroid gland that causes hypothyroidism. Lymphocytic and hashimoto thyroiditis represent different phases of autoimmune thyroiditis. the initiating factor may be a thyroid specific defect in suppressor t lymphocytes causing a breakdown in tolerance to self thyroid auto antigens. Hashimoto's thyroiditis, also known as chronic lymphocytic thyroiditis, hashimoto's disease and autoimmune thyroiditis, is an autoimmune disease in which the thyroid gland is gradually destroyed. [7][1]. Clinical vignette expand 50 year old woman with painless goitre associated with clinical hypothyroidism. gross description expand the thyroid gland is diffusely mildly enlarged and firm. cut surface shows a pale, tan coloured, homogenous appearance. no discrete nodule, necrosis or haemorrhage is seen. gross image expand gross image (annotated) expand microscopy expand talking pots and slides […].

Hashimotos Thyroiditis Pathology Made Simple
Hashimotos Thyroiditis Pathology Made Simple

Hashimotos Thyroiditis Pathology Made Simple Hashimoto's thyroiditis, also known as chronic lymphocytic thyroiditis, hashimoto's disease and autoimmune thyroiditis, is an autoimmune disease in which the thyroid gland is gradually destroyed. [7][1]. Clinical vignette expand 50 year old woman with painless goitre associated with clinical hypothyroidism. gross description expand the thyroid gland is diffusely mildly enlarged and firm. cut surface shows a pale, tan coloured, homogenous appearance. no discrete nodule, necrosis or haemorrhage is seen. gross image expand gross image (annotated) expand microscopy expand talking pots and slides […]. The current treatment of hashimoto’s is based on levothyroxine (t4) replacement. this article presents a narrative review of the pathogenesis, status, and challenges of treatment of ht to provide a theoretical basis for optimizing clinical practice and basic research. Hashimoto’s thyroiditis (ht) is a chronic autoimmune thyroiditis characterized by thyroid specific autoantibodies (tpoab, tgab) positivity and lymphocytic infiltration, and is a major cause of hypothyroidism in iodine sufficient regions. Hashimotos thyroiditis (chronic lymphocytic thyroiditis) it is an autoimmune disease with thyroid enlargement and progressive destruction of thyroid gland leading to thyroid failure. Pathologically, there is extensive infiltration of lymphocytes with lymphoid follicles and scarring. patients have painless enlargement of the thyroid or fullness in the throat. examination reveals a nontender goiter that is smooth or nodular, firm, and more rubbery than the normal thyroid.

Hashimotos Thyroiditis Pathology Made Simple
Hashimotos Thyroiditis Pathology Made Simple

Hashimotos Thyroiditis Pathology Made Simple The current treatment of hashimoto’s is based on levothyroxine (t4) replacement. this article presents a narrative review of the pathogenesis, status, and challenges of treatment of ht to provide a theoretical basis for optimizing clinical practice and basic research. Hashimoto’s thyroiditis (ht) is a chronic autoimmune thyroiditis characterized by thyroid specific autoantibodies (tpoab, tgab) positivity and lymphocytic infiltration, and is a major cause of hypothyroidism in iodine sufficient regions. Hashimotos thyroiditis (chronic lymphocytic thyroiditis) it is an autoimmune disease with thyroid enlargement and progressive destruction of thyroid gland leading to thyroid failure. Pathologically, there is extensive infiltration of lymphocytes with lymphoid follicles and scarring. patients have painless enlargement of the thyroid or fullness in the throat. examination reveals a nontender goiter that is smooth or nodular, firm, and more rubbery than the normal thyroid.

Comments are closed.