Simplify your online presence. Elevate your brand.

Colle Fracture Distal Radial Fracture Radiology Case Radiogyan

Colle Fracture Distal Radial Fracture Radiology Case Radiogyan
Colle Fracture Distal Radial Fracture Radiology Case Radiogyan

Colle Fracture Distal Radial Fracture Radiology Case Radiogyan Colle fracture is characterized as an extra articular fracture of the radial metaphysis caused by a fall on an outstretched hand (foosh), typically pronated forearm in wrist extension) causing dorsal angulation of the distal fracture fragment. Measurement of different angles and lines in assessment of distal radial fractures (see text).

Colle Fracture Distal Radial Fracture Radiology Case
Colle Fracture Distal Radial Fracture Radiology Case

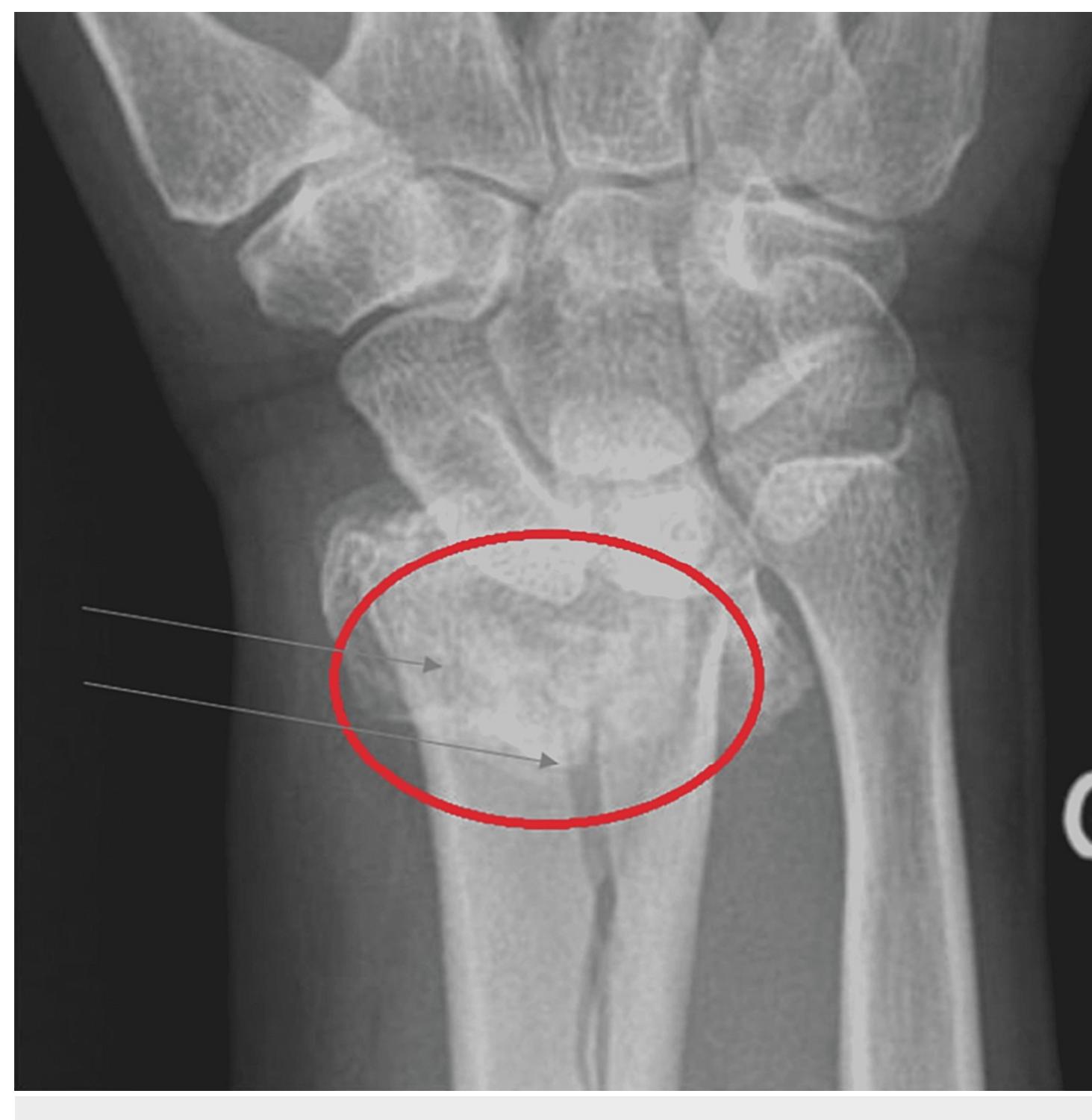
Colle Fracture Distal Radial Fracture Radiology Case Gain clinical insights from the colles' fracture radiology case, featuring detailed analysis and x ray images. Case discussion appearances of colles fracture of the left distal radius associated with ulnar styloid fracture. it is the most common distal radial fracture in adults and seen more frequently with advancing age and in women with osteoporosis. Distal radius fractures are some of the most common fractures of the skeleton. many eponyms are used to describe common patterns of these fractures. one of these eponyms is the colles fracture, which describes an extra articular distal metaphyseal fracture of the radius with dorsal displacement. Colles fracture (distal radius) after foosh: key imaging findings dorsal angulation, ulnar styloid fracture. ct evaluates articular step off; orif for unstable displacement.

Colle Fracture Distal Radial Fracture Radiology Case Radiogyan
Colle Fracture Distal Radial Fracture Radiology Case Radiogyan

Colle Fracture Distal Radial Fracture Radiology Case Radiogyan Distal radius fractures are some of the most common fractures of the skeleton. many eponyms are used to describe common patterns of these fractures. one of these eponyms is the colles fracture, which describes an extra articular distal metaphyseal fracture of the radius with dorsal displacement. Colles fracture (distal radius) after foosh: key imaging findings dorsal angulation, ulnar styloid fracture. ct evaluates articular step off; orif for unstable displacement. Case discussion colles fracture of the left distal radius with concomitant fracture of the ulnar styloid process. notice the severe calcification of the radial and ulnar arteries. Colles fracture of the distal radial metaphysis. this case is used in 7 unlisted playlists. They consist of a fracture of the distal radial metaphyseal region with dorsal angulation and impaction, but without the involvement of the articular surface. this is the most common type of distal radius fracture. A colles' fracture is a fracture of the distal metaphysis of the radius with dorsal angulation and displacement leading to a 'silver fork deformity'. colles fractures are seen more frequently with advancing age and in women with osteoporosis.

Colle Fracture Distal Radial Fracture Radiology Case
Colle Fracture Distal Radial Fracture Radiology Case

Colle Fracture Distal Radial Fracture Radiology Case Case discussion colles fracture of the left distal radius with concomitant fracture of the ulnar styloid process. notice the severe calcification of the radial and ulnar arteries. Colles fracture of the distal radial metaphysis. this case is used in 7 unlisted playlists. They consist of a fracture of the distal radial metaphyseal region with dorsal angulation and impaction, but without the involvement of the articular surface. this is the most common type of distal radius fracture. A colles' fracture is a fracture of the distal metaphysis of the radius with dorsal angulation and displacement leading to a 'silver fork deformity'. colles fractures are seen more frequently with advancing age and in women with osteoporosis.

Figure 1 From Osteoporosis A Step By Step Case Based
Figure 1 From Osteoporosis A Step By Step Case Based

Figure 1 From Osteoporosis A Step By Step Case Based They consist of a fracture of the distal radial metaphyseal region with dorsal angulation and impaction, but without the involvement of the articular surface. this is the most common type of distal radius fracture. A colles' fracture is a fracture of the distal metaphysis of the radius with dorsal angulation and displacement leading to a 'silver fork deformity'. colles fractures are seen more frequently with advancing age and in women with osteoporosis.

Colles Fracture Radiology Cases
Colles Fracture Radiology Cases

Colles Fracture Radiology Cases

Comments are closed.