Simplify your online presence. Elevate your brand.

Distal Radius Fracture Coronal Shift Of Distal Radius Fractures

Distal Radius Fracture Wrist Fractures 43 Off
Distal Radius Fracture Wrist Fractures 43 Off

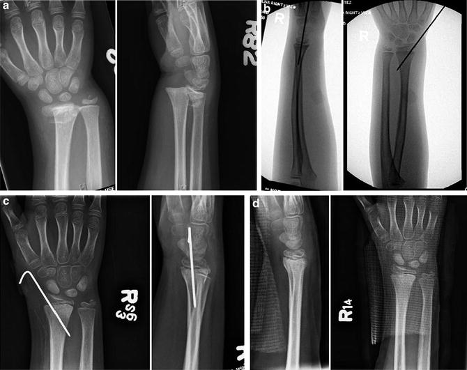
Distal Radius Fracture Wrist Fractures 43 Off The current report is a controlled randomized trial comparing two methods of conservative versus volar plate fixation for the management of drf (type 1 based on fernandez classification of distal radius fractures) plus coronal shift. The compendium of recent clinical and mechanical data suggests that coronal shift should be added to the classic measures of distal radius fracture reduction because of its fundamental role in druj stability.

Pdf Coronal Shift Of Distal Radius Fractures Influence Of The Distal
Pdf Coronal Shift Of Distal Radius Fractures Influence Of The Distal

Pdf Coronal Shift Of Distal Radius Fractures Influence Of The Distal In contrast, the stronger association observed between radial translation and dash scores suggests that coronal plane displacement may play a more substantial role in disability after extra articular distal radius fractures, consistent with emerging evidence highlighting the importance of coronal alignment. Distal radial fractures are the most common adult orthopaedic fracture. we sought to determine whether the incidence of this injury is changing and identify trends in its occurrence. This is clinical trial was conducted on 50 patients with distal radial fracture plus radius coronal shift referred to the kashani hospital affiliated at isfahan university of medical sciences from march 2014 to april 2017. This is a randomized clinical trial conducted on 50 patients with distal radius fracture (type 1 based on fernandez classification of distal radius fractures) with a coronal shift in 2014 17.

Distal Radius Fractures Buyxraysonline
Distal Radius Fractures Buyxraysonline

Distal Radius Fractures Buyxraysonline This is clinical trial was conducted on 50 patients with distal radial fracture plus radius coronal shift referred to the kashani hospital affiliated at isfahan university of medical sciences from march 2014 to april 2017. This is a randomized clinical trial conducted on 50 patients with distal radius fracture (type 1 based on fernandez classification of distal radius fractures) with a coronal shift in 2014 17. Distal radius fractures are the most common orthopaedic injury and generally result from fall on an outstretched hand. A new radiologic sign for diagnosis of proximal radius convergence during distal radius fracture is presented as well as technical tips for correction of this deformity. Fracture fixation strategies most distal radius fractures treated with locked volar plating. The distal radius literature often appears contradictory because “distal radius fracture” is a broad label applied to many biologically different injuries. trials mix extra articular and complete articular fractures, younger workers and frail retirees, bridging and nonbridging external fixation, and older nonlocking versus modern locking.

Distal Radius Fractures Obgyn Key
Distal Radius Fractures Obgyn Key

Distal Radius Fractures Obgyn Key Distal radius fractures are the most common orthopaedic injury and generally result from fall on an outstretched hand. A new radiologic sign for diagnosis of proximal radius convergence during distal radius fracture is presented as well as technical tips for correction of this deformity. Fracture fixation strategies most distal radius fractures treated with locked volar plating. The distal radius literature often appears contradictory because “distal radius fracture” is a broad label applied to many biologically different injuries. trials mix extra articular and complete articular fractures, younger workers and frail retirees, bridging and nonbridging external fixation, and older nonlocking versus modern locking.

Figure 1 From Coronal Shift Of Distal Radius Fractures Influence Of
Figure 1 From Coronal Shift Of Distal Radius Fractures Influence Of

Figure 1 From Coronal Shift Of Distal Radius Fractures Influence Of Fracture fixation strategies most distal radius fractures treated with locked volar plating. The distal radius literature often appears contradictory because “distal radius fracture” is a broad label applied to many biologically different injuries. trials mix extra articular and complete articular fractures, younger workers and frail retirees, bridging and nonbridging external fixation, and older nonlocking versus modern locking.

Comments are closed.