Simplify your online presence. Elevate your brand.

Twin Pregnancies Obgyn Key

Twin Pregnancies Obgyn Key
Twin Pregnancies Obgyn Key

Twin Pregnancies Obgyn Key Monozygous twinning rates are relatively constant, with an incidence of 3.5 1000 births. overall maternal and perinatal mortality and morbidity are higher in multiple gestations than in singletons. premature delivery and the complications of prematurity are the main contributors to adverse outcomes. This study aimed to identify, summarize, and compare the recommendations of selected professional societies from high income countries on the management of twin pregnancies, highlighting areas of both consensus and controversy.

Twin Pregnancies Obgyn Key
Twin Pregnancies Obgyn Key

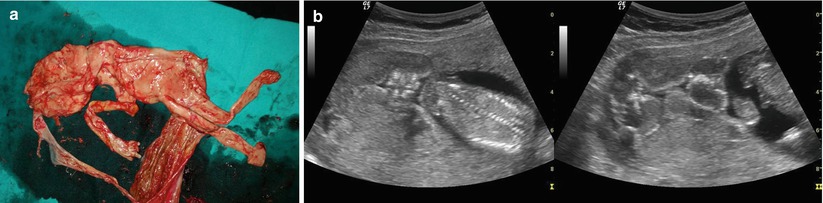
Twin Pregnancies Obgyn Key Clinicians and women should be aware that monochorionic twin pregnancies have higher fetal loss (miscarriage, stillbirth, and neonatal death) rates than dichorionic twin pregnancies, and overall may have a higher risk of associated neurodevelopmental morbidity. Learn how twin pregnancies differ from singleton pregnancies, and what that means for office visits, nutrition, and recommended screenings. To review current international clinical guidelines on the antenatal and intrapartum management of twin pregnancies, examining areas of consensus and conflict. we conducted a database search using medline, pubmed, scopus, academic search complete, cinahl and erci guidelines website. Women with a twin pregnancy should be cared for by an experienced multidisciplinary team in a specialized twin clinic.6 twins that develop complications, and all monochorionic monoamniotic twins, should be referred to a tertiary center.

Twin Pregnancies Obgyn Key
Twin Pregnancies Obgyn Key

Twin Pregnancies Obgyn Key To review current international clinical guidelines on the antenatal and intrapartum management of twin pregnancies, examining areas of consensus and conflict. we conducted a database search using medline, pubmed, scopus, academic search complete, cinahl and erci guidelines website. Women with a twin pregnancy should be cared for by an experienced multidisciplinary team in a specialized twin clinic.6 twins that develop complications, and all monochorionic monoamniotic twins, should be referred to a tertiary center. This guideline reviews the evidence based management of normal and complicated monochorionic twin pregnancies. To review current international clinical guidelines on the antenatal and intrapartum management of twin pregnancies, examining areas of consensus and conflict. Accurate dating and determination of chorionicity is critical in the management of twin pregnancies. structural anomalies, placental abnormalities, cervical shortening, and fetal growth disturbances are all more common in twins. These documents provide recommendations on antenatal surveillance and management of twin pregnancies. at the same time, these guidelines identify several key areas where evidence is limited and additional research is needed.

Twin Pregnancies Obgyn Key
Twin Pregnancies Obgyn Key

Twin Pregnancies Obgyn Key This guideline reviews the evidence based management of normal and complicated monochorionic twin pregnancies. To review current international clinical guidelines on the antenatal and intrapartum management of twin pregnancies, examining areas of consensus and conflict. Accurate dating and determination of chorionicity is critical in the management of twin pregnancies. structural anomalies, placental abnormalities, cervical shortening, and fetal growth disturbances are all more common in twins. These documents provide recommendations on antenatal surveillance and management of twin pregnancies. at the same time, these guidelines identify several key areas where evidence is limited and additional research is needed.

Comments are closed.