Simplify your online presence. Elevate your brand.

Traumatic Brain Injury Ppt

Traumatic Brain Injury Pptx Pdf Traumatic Brain Injury Ct Scan
Traumatic Brain Injury Pptx Pdf Traumatic Brain Injury Ct Scan

Traumatic Brain Injury Pptx Pdf Traumatic Brain Injury Ct Scan The goals of management are to prevent secondary injuries by maintaining cerebral perfusion pressure and minimizing intracranial pressure increases through monitoring, treatment of complications, and other interventions. download as a pptx, pdf or view online for free. Designed for educators, this dark modern presentation template is perfect for teaching about traumatic brain injury. with its sleek black design, it’s available as both a powerpoint template and a google slides template, ensuring seamless integration into your preferred platform.

Psychiatry Traumatic Brain Injury Ppt Ppt Ppt
Psychiatry Traumatic Brain Injury Ppt Ppt Ppt

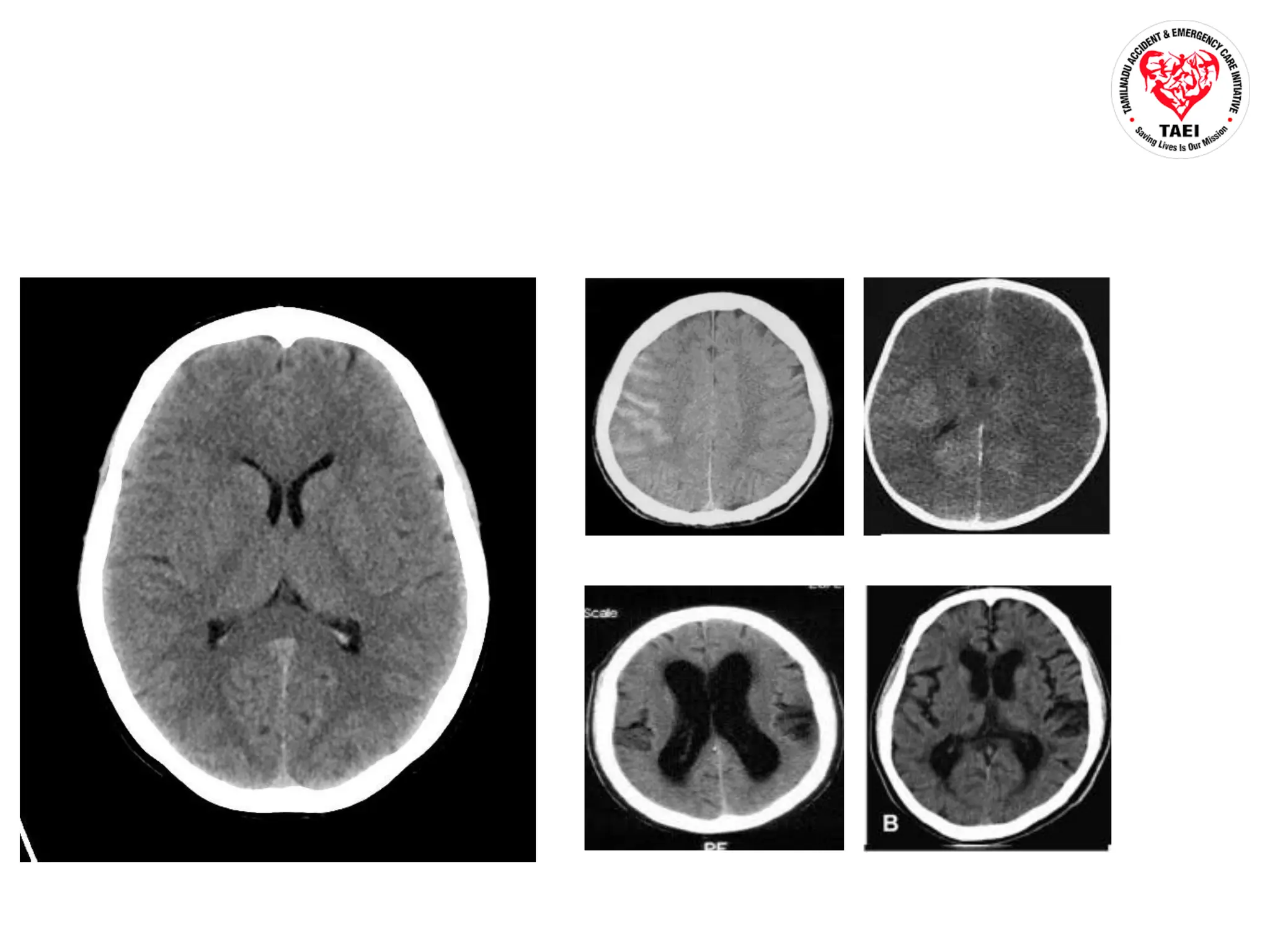
Psychiatry Traumatic Brain Injury Ppt Ppt Ppt Traumatic brain injury presentation free download as powerpoint presentation (.ppt .pptx), pdf file (.pdf), text file (.txt) or view presentation slides online. Download a free medical powerpoint presentation on traumatic brain injury (tbi), a type of brain damage caused by a sudden impact or jolt. learn about the definition, levels, causes, symptoms, effects, prevention, and resources of tbi. Blast induced tbi results from exposure to blast overpressure (bop), which generates shock wave energy that transmits force throughout the skull and can impact brain tissue. Traumatic brain injury (tbi), causes substantial disability and mortality. it occurs when a sudden trauma damages the brain and disrupts normal brain function.

Psychiatry Traumatic Brain Injury Ppt Ppt Ppt
Psychiatry Traumatic Brain Injury Ppt Ppt Ppt

Psychiatry Traumatic Brain Injury Ppt Ppt Ppt Blast induced tbi results from exposure to blast overpressure (bop), which generates shock wave energy that transmits force throughout the skull and can impact brain tissue. Traumatic brain injury (tbi), causes substantial disability and mortality. it occurs when a sudden trauma damages the brain and disrupts normal brain function. Rapid acceleration or deceleration, direct compression, penetration and physical disruption of brain tissue, blast injuries, etc. what type of trauma will these patients typically present with? mvc, pedestrian impact, falls, and assault. Traumatic brain injury (tbi) is caused by an external force to the head that can lead to temporary or permanent impairment. it is a leading cause of death and disability, especially in young people. A traumatic brain injury (tbi), also known as an intracranial injury, is an injury to the brain caused by an external force. tbi can be classified based on severity ranging from mild traumatic brain injury (mtbi concussion) to severe traumatic brain injury. [5] tbi can also be characterized based on mechanism (closed or penetrating head injury) or other features (e.g., occurring in a specific. It describes the primary and secondary injury mechanisms of tbi, including diffuse axonal injury. imaging and diagnostic criteria for different types of brain injuries are outlined.

Psychiatry Traumatic Brain Injury Ppt Ppt Ppt
Psychiatry Traumatic Brain Injury Ppt Ppt Ppt

Psychiatry Traumatic Brain Injury Ppt Ppt Ppt Rapid acceleration or deceleration, direct compression, penetration and physical disruption of brain tissue, blast injuries, etc. what type of trauma will these patients typically present with? mvc, pedestrian impact, falls, and assault. Traumatic brain injury (tbi) is caused by an external force to the head that can lead to temporary or permanent impairment. it is a leading cause of death and disability, especially in young people. A traumatic brain injury (tbi), also known as an intracranial injury, is an injury to the brain caused by an external force. tbi can be classified based on severity ranging from mild traumatic brain injury (mtbi concussion) to severe traumatic brain injury. [5] tbi can also be characterized based on mechanism (closed or penetrating head injury) or other features (e.g., occurring in a specific. It describes the primary and secondary injury mechanisms of tbi, including diffuse axonal injury. imaging and diagnostic criteria for different types of brain injuries are outlined.

Comments are closed.