Simplify your online presence. Elevate your brand.

Mobile Bearing Total Knee Mts

Fhk Mobile Bearing Total Knee Prosthesis Fh Ortho
Fhk Mobile Bearing Total Knee Prosthesis Fh Ortho

Fhk Mobile Bearing Total Knee Prosthesis Fh Ortho The benefits and risks of fixed bearing and mobile bearing designs for total knee arthroplasty (tka) were compared, and long term functional, clinical and radiological outcomes were analysed. This chapter will review the evolution of mobile bearing designs, principles of surgical implantation, and avoidance of specific pitfalls inherent to the design and provide a review of the short and long term outcomes.

Mobile Bearing Total Knee Arthroplasty Musculoskeletal Key
Mobile Bearing Total Knee Arthroplasty Musculoskeletal Key

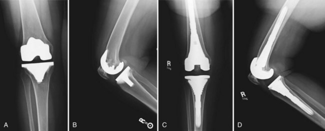
Mobile Bearing Total Knee Arthroplasty Musculoskeletal Key The mobile bearing design, in contrast to the fixed bearing design, can clearly increase the ksfss, especially with posterior cruciate retention. In vivo kinematics of a newly updated posterior stabilized mobile bearing total knee arthroplasty in weight bearing and nonweight bearing high flexion activities. Mobile bearing (mb) total knee arthroplasty (tka) designs offer the theoretical advantage of increased implant conformity and contact area while minimizing stresses transmitted to the fixation interface. Subscribed 62 6.4k views 13 years ago comparison of mobile bearing total knee to partial knee replacement more.

Mobile Bearing Total Knee Arthroplasty Musculoskeletal Key
Mobile Bearing Total Knee Arthroplasty Musculoskeletal Key

Mobile Bearing Total Knee Arthroplasty Musculoskeletal Key Mobile bearing (mb) total knee arthroplasty (tka) designs offer the theoretical advantage of increased implant conformity and contact area while minimizing stresses transmitted to the fixation interface. Subscribed 62 6.4k views 13 years ago comparison of mobile bearing total knee to partial knee replacement more. The mobile bearing (mb) concept in total knee arthroplasty (tka) was developed as an alternative to fixed bearing (fb) implants in order to reduce wear and improve range of motion (rom), especially focused on younger patients. The oxford partial knee is intended for use in individuals with osteoarthritis or avascular necrosis limited to the medial compartment of the knee and is intended to be implanted with bone cement. Partial knee performed by 13 different surgeons. surgical time was measured from insertion of the first bone pin to the acceptance of the final trial components. the average sur ical time for all surgeons was 56 ± 20 minutes. the shortest average surgical time for an individual surgeon was 38. Mobile bearing (mb) total knee arthroplasty (tka) designs have proposed biomechanical benefits, including improved patellar tracking and reduction in polyethylene wear.

Comments are closed.