Simplify your online presence. Elevate your brand.

Hypothalamic Hamartomas Neupsy Key

Hypothalamic Hamartoma Neupsy Key
Hypothalamic Hamartoma Neupsy Key

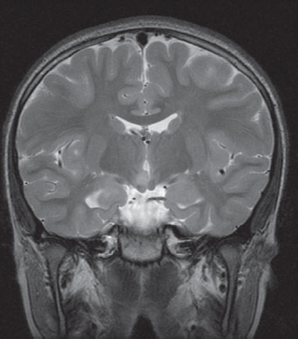
Hypothalamic Hamartoma Neupsy Key Hypothalamic hamartomas (hhs) are rare, heterotopic masses consisting of an abnormal mixture of neuronal and glial cells. they arise from the floor of the third ventricle, tuber cinerium, or mammillary bodies. these developmental malformations can be diagnosed incidentally during routine autopsy. Hypothalamic hamartomas (hh) are rare brain lesions associated with epilepsy and numerous comorbidities. worldwide treatment is varied. there is a paucity of high quality evidence to guide treatment. this study aimed to establish expert consensus on the evaluation and management of hh.

65 Hypothalamic Hamartoma Neupsy Key
65 Hypothalamic Hamartoma Neupsy Key

65 Hypothalamic Hamartoma Neupsy Key Hypothalamic hamartomas (hh) are rare, non neoplastic heterotopic tissues which contains normal neurons and glia including oligodendrocytes and fibrillary astrocytes but in an abnormal distribution. Hypothalamic hamartomas (hh) are non neoplastic gray matter lesions, generally occurring within or below the third ventricle. patients most commonly present with gelastic seizures and precocious puberty. Hypothalamic hamartomas (hh) are infrequent, non neoplastic malformations of the hypothalamus with heterogeneous clinical features, with symptoms including gelastic seizures, central precocious puberty, and cognitive or behavioral deficits. A literature search was carried out in electronic databases such as pubmed, cochrane, scopus, sciencedirect, which included the studies reported on “hypothalamic,” “hamartoma,” and.

65 Hypothalamic Hamartoma Neupsy Key
65 Hypothalamic Hamartoma Neupsy Key

65 Hypothalamic Hamartoma Neupsy Key Hypothalamic hamartomas (hh) are infrequent, non neoplastic malformations of the hypothalamus with heterogeneous clinical features, with symptoms including gelastic seizures, central precocious puberty, and cognitive or behavioral deficits. A literature search was carried out in electronic databases such as pubmed, cochrane, scopus, sciencedirect, which included the studies reported on “hypothalamic,” “hamartoma,” and. Hypothalamic hamartomas (hh) are infrequent, non neoplastic malformations of the hypothalamus with heterogeneous clinical features, with symptoms including gelastic seizures, central precocious puberty, and cognitive or behavioral deficits. Hypothalamic hamartomas are rare malformations of fetal brain development, affecting development of the hypothalamus, and are placed within the spectrum of grey matter heterotopia. pathologically, lesions show mature neuronal and glial cells and some myelinated fibres. In the present article, we performed a systematic literature search and summarized the information on the reporting patterns related to the pattern of clinical presentation, management, and outcome of hhs. This review is based on the 4th international symposium on hypothalamic hamartomas, which took place september 12 –14, 2019, in washington, dc, and current concepts, experience, and research.

14 Hypothalamic Hamartomas Neupsy Key
14 Hypothalamic Hamartomas Neupsy Key

14 Hypothalamic Hamartomas Neupsy Key Hypothalamic hamartomas (hh) are infrequent, non neoplastic malformations of the hypothalamus with heterogeneous clinical features, with symptoms including gelastic seizures, central precocious puberty, and cognitive or behavioral deficits. Hypothalamic hamartomas are rare malformations of fetal brain development, affecting development of the hypothalamus, and are placed within the spectrum of grey matter heterotopia. pathologically, lesions show mature neuronal and glial cells and some myelinated fibres. In the present article, we performed a systematic literature search and summarized the information on the reporting patterns related to the pattern of clinical presentation, management, and outcome of hhs. This review is based on the 4th international symposium on hypothalamic hamartomas, which took place september 12 –14, 2019, in washington, dc, and current concepts, experience, and research.

Comments are closed.