Simplify your online presence. Elevate your brand.

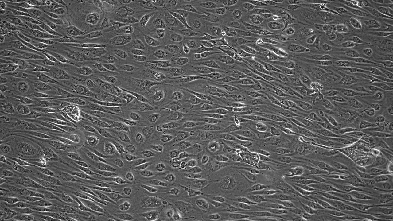
Hmvec Cell Alignment 5days Under Flow At 10dyn

Tumor Cell Adhesion To Huvec Hmec 1 Htertlec And Hmvec Dly Neo Under
Tumor Cell Adhesion To Huvec Hmec 1 Htertlec And Hmvec Dly Neo Under

Tumor Cell Adhesion To Huvec Hmec 1 Htertlec And Hmvec Dly Neo Under Human microvascular endothelial cells under flow at 10dyn cm^2 for 5 days. In this work we studied the response to flow of different human ecs with the aim of examining whether their response in vitro is dictated by their original in vivo conditions.

Human Microvascular Endothelial Cell Hmvec Chemotaxis Induced By
Human Microvascular Endothelial Cell Hmvec Chemotaxis Induced By

Human Microvascular Endothelial Cell Hmvec Chemotaxis Induced By The cell alignment was followed over 5 days via laser scanning confocal microscopy (lsm) in static and perfused culture and finally, the intercellular junctions were immuno stained using an anti vascular endothelial (ve) cadherin stain. Huvecs were cultured under flow at 10 dyn cm² for 5 days in a μ slide i 0.4 luer ibitreat. the cells were stained for ve cadherin (green), f actin (red), and nuclei (blue). imaged using a nikon eclipse microscope at 60x magnification. In this work we present a comprehensive analysis of the effect of flow exposure on gene expression and cell orientation of different types of human derived ecs relevant for basic research, not only in vascular tissue engineering but in endothelial cell research in general. Vascular endothelial cells formed a continuous monolayer with significant cell alignment in the direction of flow. the presented cultivation protocol in the bioreactor system thus displays a promising template for graft endothelialization and cultivation.

Effect Of Cell Type Huvec And Hmvec C On Cell Association Of Labelled
Effect Of Cell Type Huvec And Hmvec C On Cell Association Of Labelled

Effect Of Cell Type Huvec And Hmvec C On Cell Association Of Labelled In this work we present a comprehensive analysis of the effect of flow exposure on gene expression and cell orientation of different types of human derived ecs relevant for basic research, not only in vascular tissue engineering but in endothelial cell research in general. Vascular endothelial cells formed a continuous monolayer with significant cell alignment in the direction of flow. the presented cultivation protocol in the bioreactor system thus displays a promising template for graft endothelialization and cultivation. Human lung microvascular endothelial cells are isolated from small vessels and are cultured to be ≥90% pure and specifically enriched for lung lecs and becs. Abstract human umbilical vein endothelial cells (huvecs) are primary cells isolated from the vein of an umbilical cord, extensively used in cardiovascular studies and medical research. For corning huvec 2, hmvec, and hmec 1, 70 to 80% confluence is recommended. note: primary cells should be low passage number (e.g., huvecs should not be passaged more than 5 times). Endothelial cells form the tunica intima—the thin layer of cells that line the interior surface of blood vessels. this smooth anticoagulant surface functions as a selective filter to regulate the passage of gases, fluid, immune cells, and various molecules.

Effect Of Cell Type Huvec And Hmvec C On Cell Association Of Labelled
Effect Of Cell Type Huvec And Hmvec C On Cell Association Of Labelled

Effect Of Cell Type Huvec And Hmvec C On Cell Association Of Labelled Human lung microvascular endothelial cells are isolated from small vessels and are cultured to be ≥90% pure and specifically enriched for lung lecs and becs. Abstract human umbilical vein endothelial cells (huvecs) are primary cells isolated from the vein of an umbilical cord, extensively used in cardiovascular studies and medical research. For corning huvec 2, hmvec, and hmec 1, 70 to 80% confluence is recommended. note: primary cells should be low passage number (e.g., huvecs should not be passaged more than 5 times). Endothelial cells form the tunica intima—the thin layer of cells that line the interior surface of blood vessels. this smooth anticoagulant surface functions as a selective filter to regulate the passage of gases, fluid, immune cells, and various molecules.

Comments are closed.