Simplify your online presence. Elevate your brand.

Healthy Bottom Teeth

Healthy Bottom Teeth
Healthy Bottom Teeth

Healthy Bottom Teeth Knowing the difference between healthy gums vs. unhealthy gums is highly essential. use our visual guide to figure out your gum health levels. Learn what healthy gums look like and how to prevent gum disease with pictures and a step by step guide. find out how to brush, floss and maintain your gums for optimal oral health.

Healthy Bottom Teeth
Healthy Bottom Teeth

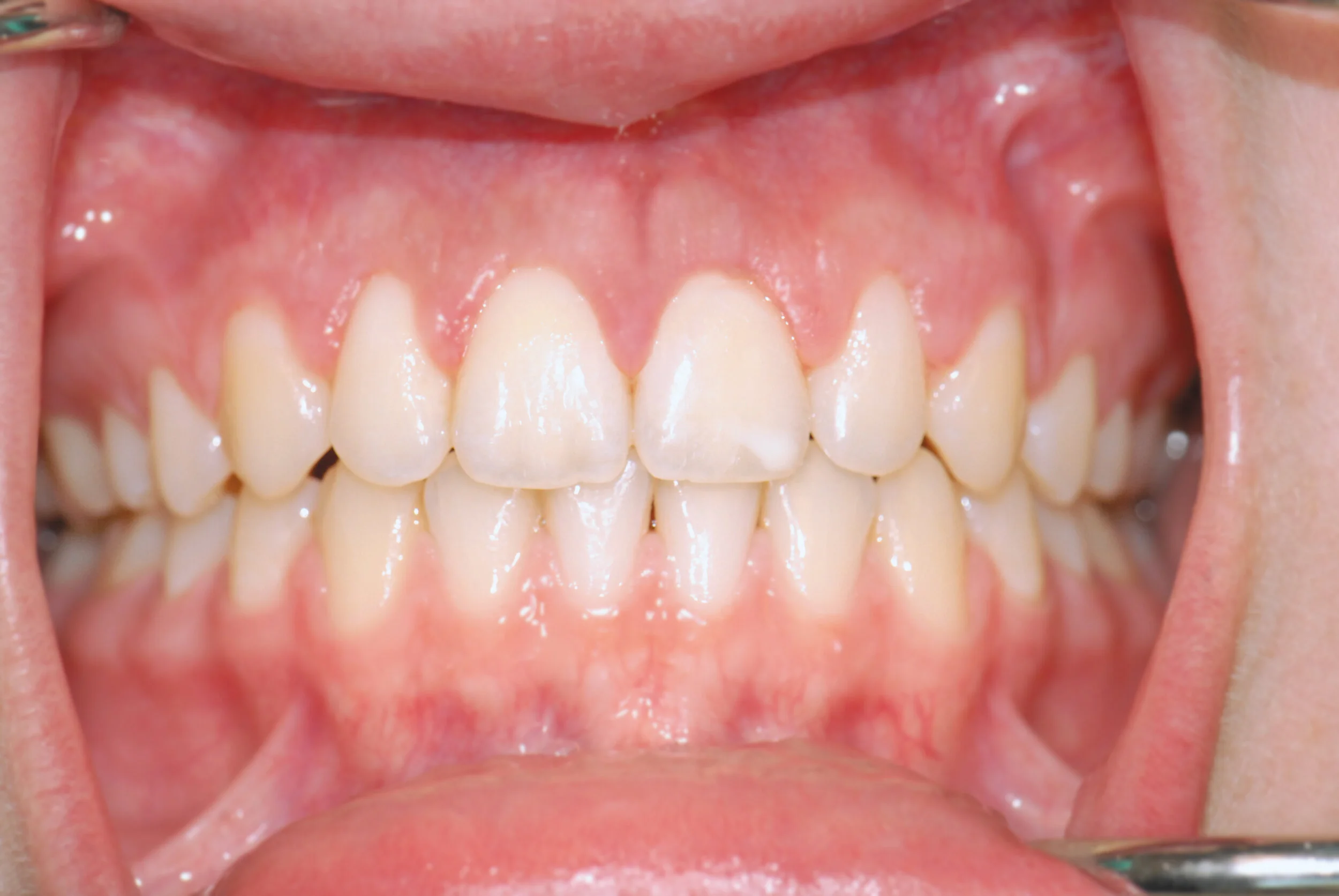
Healthy Bottom Teeth Healthy gums help protect your teeth, keep your smile bright and even support your overall health. unhealthy gums can lead to gum disease and tooth loss, as well as issues with your heart. Discover tips for keeping your teeth healthy and improving your oral hygiene. this article looks at brushing, flossing, and more. Your bottom teeth play a vital role in your overall smile and oral health. by prioritizing their care with consistent hygiene practices, a balanced diet, and professional guidance, you can maintain their strength and appearance. Healthy adult bottom teeth typically number between 14 and 16, forming the lower dental arch. this count usually includes four incisors at the front, two canines, four premolars, and four to six molars.

Healthy Bottom Teeth
Healthy Bottom Teeth

Healthy Bottom Teeth Your bottom teeth play a vital role in your overall smile and oral health. by prioritizing their care with consistent hygiene practices, a balanced diet, and professional guidance, you can maintain their strength and appearance. Healthy adult bottom teeth typically number between 14 and 16, forming the lower dental arch. this count usually includes four incisors at the front, two canines, four premolars, and four to six molars. We’ll walk you through what healthy bottom teeth should look like, help you identify common concerns, and explain when it’s a good idea to chat with your dentist. Learn how to straighten bottom teeth for better oral health, bite balance, and confidence. explore causes, treatments, and smilepath clear aligners. Caring for the bottom row of teeth is essential for maintaining overall oral health and functionality. these teeth not only aid in chewing and speaking but also significantly contribute to your smile and self confidence. Normal, healthy gums look different depending on genetics and skin color. in general, they should not be red or puffy, two signs that you may be in the early stages of gum disease.

Healthy Bottom Teeth
Healthy Bottom Teeth

Healthy Bottom Teeth We’ll walk you through what healthy bottom teeth should look like, help you identify common concerns, and explain when it’s a good idea to chat with your dentist. Learn how to straighten bottom teeth for better oral health, bite balance, and confidence. explore causes, treatments, and smilepath clear aligners. Caring for the bottom row of teeth is essential for maintaining overall oral health and functionality. these teeth not only aid in chewing and speaking but also significantly contribute to your smile and self confidence. Normal, healthy gums look different depending on genetics and skin color. in general, they should not be red or puffy, two signs that you may be in the early stages of gum disease.

Healthy Bottom Teeth
Healthy Bottom Teeth

Healthy Bottom Teeth Caring for the bottom row of teeth is essential for maintaining overall oral health and functionality. these teeth not only aid in chewing and speaking but also significantly contribute to your smile and self confidence. Normal, healthy gums look different depending on genetics and skin color. in general, they should not be red or puffy, two signs that you may be in the early stages of gum disease.

Comments are closed.