Simplify your online presence. Elevate your brand.

Grinding And Clenching Bruxism Pocket Dentistry

Grinding And Clenching Bruxism Pocket Dentistry
Grinding And Clenching Bruxism Pocket Dentistry

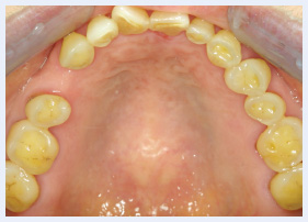
Grinding And Clenching Bruxism Pocket Dentistry Bruxism (brucks is im) is a habit of grinding or clenching your teeth. it can happen in children or adults of any age. people who suffer from bruxism may have one or more of these symptoms: how is bruxism treated? treatment depends on each person’s situation. your dentist may recommend one or more of the following treatments:. People may be oblivious to their bruxism, but family members might notice it. bruxism can abrade and eventually wear down enamel and dentin in the crowns of teeth, damage metal or ceramic dental crowns, and cause teeth to become mobile.

Grinding And Clenching Bruxism Pocket Dentistry
Grinding And Clenching Bruxism Pocket Dentistry

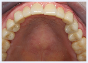
Grinding And Clenching Bruxism Pocket Dentistry Bruxism is a condition where a person grinds, clenches, or gnashes his or her teeth; it can occur when awake or asleep. bruxism that happens while a person is awake is more common, but bruxism that happens during sleep has been studied more. children as well as adults can have this condition. When stressed, your jaw muscles tend to tighten, resulting in teeth grinding and or clenching (also called bruxism). while this can happen without you even realizing it, it can be very dangerous to your teeth. there are lots of techniques you can use to lessen the effects of bruxism. Left untreated, bruxism can cause jaw pain and dental damage. learn more about treatments that can help you stop grinding your teeth. In the context of bruxism, grinding is characterised by dynamic tooth contacts brought about by jaw muscle activities. grinding may or may not be accompanied by sounds. bracing is the equivalent of clenching, but without tooth contact.

Grinding And Clenching Bruxism Pocket Dentistry
Grinding And Clenching Bruxism Pocket Dentistry

Grinding And Clenching Bruxism Pocket Dentistry Left untreated, bruxism can cause jaw pain and dental damage. learn more about treatments that can help you stop grinding your teeth. In the context of bruxism, grinding is characterised by dynamic tooth contacts brought about by jaw muscle activities. grinding may or may not be accompanied by sounds. bracing is the equivalent of clenching, but without tooth contact. Bruxism, characterized by involuntary grinding or clenching of teeth, is a widespread condition with multifaceted implications for oral health, physical well being, and quality of life. Studies show that changes in brain activity like low dopamine, high stress, and poor sleep can all contribute to teeth grinding. dentists can treat the damage caused by bruxism, but understanding the cause is what helps prevent it from coming back. See your dentist or other healthcare professional if you have symptoms that could be caused by grinding or clenching your teeth or if you have other concerns about your teeth or jaws. This series of papers will review the aetiology of bruxism, its impacts and treatment strategies for persistent bruxers who are at risk of, or suffering, tissue damage.

Teeth Grinding Clenching Bruxism Dental Services In Maroubra
Teeth Grinding Clenching Bruxism Dental Services In Maroubra

Teeth Grinding Clenching Bruxism Dental Services In Maroubra Bruxism, characterized by involuntary grinding or clenching of teeth, is a widespread condition with multifaceted implications for oral health, physical well being, and quality of life. Studies show that changes in brain activity like low dopamine, high stress, and poor sleep can all contribute to teeth grinding. dentists can treat the damage caused by bruxism, but understanding the cause is what helps prevent it from coming back. See your dentist or other healthcare professional if you have symptoms that could be caused by grinding or clenching your teeth or if you have other concerns about your teeth or jaws. This series of papers will review the aetiology of bruxism, its impacts and treatment strategies for persistent bruxers who are at risk of, or suffering, tissue damage.

Comments are closed.