Simplify your online presence. Elevate your brand.

Friedreichs Ataxia

About Friedreich S Ataxia Disease
About Friedreich S Ataxia Disease

About Friedreich S Ataxia Disease Friedreich's ataxia (frda) is a rare, inherited, autosomal recessive neurodegenerative disorder that primarily affects the nervous system, causing progressive damage to the spinal cord, peripheral nerves, and cerebellum, leading to impaired muscle coordination (ataxia). Friedreich ataxia (fa) is a rare, inherited disorder that causes progressive damage to the nervous system. this can cause movement and sensory symptoms and trouble with walking and gait. in fa, nerve fibers in the spinal cord and peripheral nerves break down, becoming thinner.

Friedreich Ataxia Musculoskeletal Key
Friedreich Ataxia Musculoskeletal Key

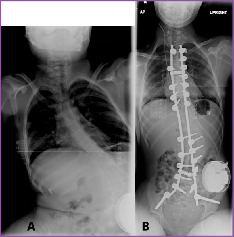
Friedreich Ataxia Musculoskeletal Key What is friedreich’s ataxia? friedreich's ataxia (fa or frda) is a rare genetic condition that causes progressive nervous system damage. it may impact your heart function over time. it affects your movement, balance and coordination (ataxia). symptoms usually start in childhood and get worse. Friedreich's ataxia is a rare, inherited disease that affects the nervous system and the heart. learn about its genetic cause, how it's diagnosed, and what treatments are available from johns hopkins medicine. Learn about friedreich’s ataxia (fa), a rare neurodegenerative disorder. explore symptoms, genetics, and current research initiatives. Friedreich's ataxia friedreich ataxia is the most common type hereditary ataxia and it is inherited in an autosomal recessive pattern. it is a slowly progressive ataxia with the age of onset in the first and second decades of life—usually below age 25. some individuals with friedreich ataxia may not develop symptoms until very late in life.

Friedreich S Ataxia Clinical Physio Membership
Friedreich S Ataxia Clinical Physio Membership

Friedreich S Ataxia Clinical Physio Membership Learn about friedreich’s ataxia (fa), a rare neurodegenerative disorder. explore symptoms, genetics, and current research initiatives. Friedreich's ataxia friedreich ataxia is the most common type hereditary ataxia and it is inherited in an autosomal recessive pattern. it is a slowly progressive ataxia with the age of onset in the first and second decades of life—usually below age 25. some individuals with friedreich ataxia may not develop symptoms until very late in life. Disease onset occurs typically in adolescence but can vary widely, ranging from early childhood to late adulthood. friedreich's ataxia is increasingly recognised as a multisystem disorder, affecting not only the nervous system, but also the heart and musculoskeletal system, and metabolism. Friedreich’s ataxia (fa) is a genetic, progressive neuromuscular disease. people with fa experience issues with balance and coordination of movement that lead to life altering loss of mobility. other common symptoms can include fatigue, serious heart conditions, scoliosis, and diabetes. Friedreich ataxia is an inherited disease that damages your nervous system. the damage affects your spinal cord and the nerves that control muscle movement in your arms and legs. Friedreich’s ataxia (af) is the most common autosomal recessive genetic cerebellar ataxia and affects about 1300 people in france, with symptoms usually occurring between the ages of 7 and 14.

Friedreich Ataxia Video Anatomy Definition Osmosis
Friedreich Ataxia Video Anatomy Definition Osmosis

Friedreich Ataxia Video Anatomy Definition Osmosis Disease onset occurs typically in adolescence but can vary widely, ranging from early childhood to late adulthood. friedreich's ataxia is increasingly recognised as a multisystem disorder, affecting not only the nervous system, but also the heart and musculoskeletal system, and metabolism. Friedreich’s ataxia (fa) is a genetic, progressive neuromuscular disease. people with fa experience issues with balance and coordination of movement that lead to life altering loss of mobility. other common symptoms can include fatigue, serious heart conditions, scoliosis, and diabetes. Friedreich ataxia is an inherited disease that damages your nervous system. the damage affects your spinal cord and the nerves that control muscle movement in your arms and legs. Friedreich’s ataxia (af) is the most common autosomal recessive genetic cerebellar ataxia and affects about 1300 people in france, with symptoms usually occurring between the ages of 7 and 14.

Comments are closed.