Simplify your online presence. Elevate your brand.

Distal Radial Fractures By Alexander Baxter Radnotes

Distal Radial Fractures Pdf Skeletal System Musculoskeletal
Distal Radial Fractures Pdf Skeletal System Musculoskeletal

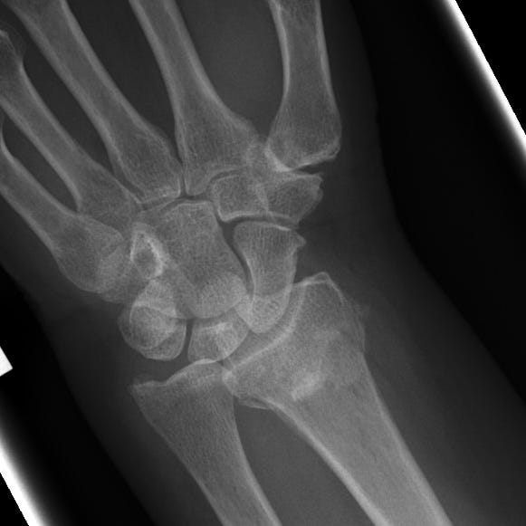
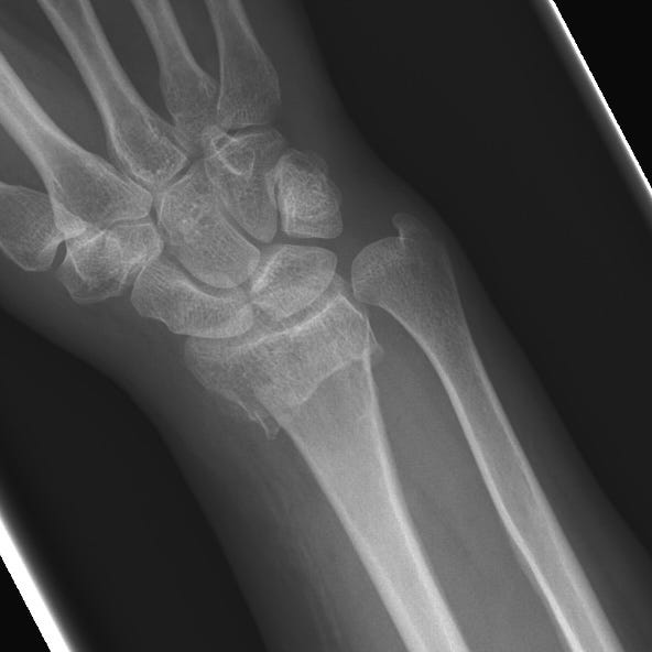
Distal Radial Fractures Pdf Skeletal System Musculoskeletal Distal radius fractures are classified according to (1) extension into the radiocarpal joint, (2) extension to the distal radioulnar articulation, and (3) the presence of an associated ulnar styloid fracture. Distal radius fractures are the most common orthopaedic injury and generally result from fall on an outstretched hand.

Distal Radial Fractures By Alexander Baxter Radnotes
Distal Radial Fractures By Alexander Baxter Radnotes

Distal Radial Fractures By Alexander Baxter Radnotes Acute distal radius fracture results in pain, tenderness, swelling and potential deformity. patients may be faced with substantial morbidity if fracture healing is delayed or results in clinically significant deformity. Distal radius fractures, commonly known as a wrist fracture, are defined by the involvement of the metaphysis of the distal radius. in younger patients, they are commonly associated with high energy mechanisms, and in older patients, they more frequently occur with lower energy mechanisms or falls. Common distal radial fractures home uw emergency radiology trauma radiology reference resource 09. upper extremity common distal radial fractures page views: 15,253. In this report, we have summarized the evidence on treatment and rehabilitation of distal radial fractures from the most recent available systematic reviews of high quality.

Distal Radial Fractures By Alexander Baxter Radnotes
Distal Radial Fractures By Alexander Baxter Radnotes

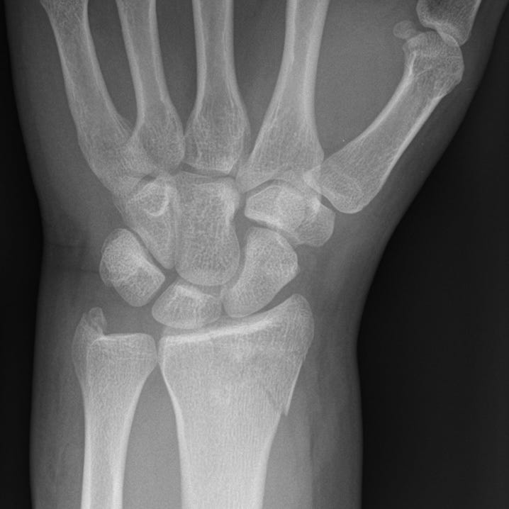
Distal Radial Fractures By Alexander Baxter Radnotes Common distal radial fractures home uw emergency radiology trauma radiology reference resource 09. upper extremity common distal radial fractures page views: 15,253. In this report, we have summarized the evidence on treatment and rehabilitation of distal radial fractures from the most recent available systematic reviews of high quality. Distal radial fractures are a heterogeneous group of fractures that occur at the distal radius and are the dominant fracture type at the wrist. these common fractures usually occur when significant force is applied to the distal radial metaphysis. A randomized, controlled trial of distal radius fractures with metaphyseal displacement but without joint incongruity: closed reduction and casting versus closed reduction, spanning external fixation, and optional percutaneous k wires. We review the evidence behind each guideline and highlight the practical implications of each guideline on care. This guideline is based upon 6 high quality studies, with 3 comparing different fixation techniques for complete intra articular distal radius fractures (jakubietz, yazdanshenas, hammer) and 3 comparing different fixation techniques for unstable distal radius fractures (marcheix, rozental, goehre).

Distal Radial Fractures By Alexander Baxter Radnotes
Distal Radial Fractures By Alexander Baxter Radnotes

Distal Radial Fractures By Alexander Baxter Radnotes Distal radial fractures are a heterogeneous group of fractures that occur at the distal radius and are the dominant fracture type at the wrist. these common fractures usually occur when significant force is applied to the distal radial metaphysis. A randomized, controlled trial of distal radius fractures with metaphyseal displacement but without joint incongruity: closed reduction and casting versus closed reduction, spanning external fixation, and optional percutaneous k wires. We review the evidence behind each guideline and highlight the practical implications of each guideline on care. This guideline is based upon 6 high quality studies, with 3 comparing different fixation techniques for complete intra articular distal radius fractures (jakubietz, yazdanshenas, hammer) and 3 comparing different fixation techniques for unstable distal radius fractures (marcheix, rozental, goehre).

Comments are closed.