Simplify your online presence. Elevate your brand.

Anatomy Of The Aortic Valve Dr Fiona Schnitzler

Aortic Valve Anatomy
Aortic Valve Anatomy

Aortic Valve Anatomy Fiona schnitzler, medical student descibes the anatomy of the aortic valve in aosrtic stenosis more. 3rd year medical student fiona schnitzler describes aortic valve mechanics, aortic stenosis, and aortic valve leaflets in relevance to mitral mechanics. this is a presentation by fiona, a 3rd year medical student, about the anatomy of the aortic valve.

Ventricular Valve Anatomy Aortic Ventricular Valve Duzns
Ventricular Valve Anatomy Aortic Ventricular Valve Duzns

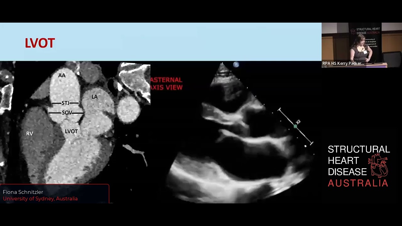
Ventricular Valve Anatomy Aortic Ventricular Valve Duzns Anatomy of the aortic valve dr fiona schnitzler structural heart disease australia • 477 views • 6 months ago. Anatomy of the aortic valve fiona schnitzler 3rd year medical student fiona schnitzler describes aortic valve mechanics, aortic stenosis, and ao…. Step by step – aortic, mitral and tricuspid imaging guidelines for valve implants. The aortic valve is a key orienting structure for the echocardiographer during an intraoperative transesophageal echocardiography exam. its distinctive 3 leaflet, inverted "y" or mercedes benz logo type structure provides a marker through which other cardiac structures can be determined.

Back To The Basics Aortic Valve Anatomy Cardioserv
Back To The Basics Aortic Valve Anatomy Cardioserv

Back To The Basics Aortic Valve Anatomy Cardioserv Step by step – aortic, mitral and tricuspid imaging guidelines for valve implants. The aortic valve is a key orienting structure for the echocardiographer during an intraoperative transesophageal echocardiography exam. its distinctive 3 leaflet, inverted "y" or mercedes benz logo type structure provides a marker through which other cardiac structures can be determined. Knowing the basic anatomy of the aortic valve allows us to better evaluate and diagnose patients with pathology. this blog provides the necessary steps to understanding, evaluating and measuring the structure that make up the aortic valve. The aortic valve is typically made up of three membranes (cusps) made up mainly of collagen; the valve is placed on a muscle ring and connected to the heart wall. This review demonstrates the inherent elegance coupled with complexity of the aortic valve apparatus (ava). understanding this could have important clinical and translational implications in optimizing the management of patients with aortic valve disease to enhance longevity and quality of life. Your aortic valve is one of your four heart valves. it opens when blood flows from the left side of your heart to your aorta.

Aortic Valve Anatomy Presentation Pptx
Aortic Valve Anatomy Presentation Pptx

Aortic Valve Anatomy Presentation Pptx Knowing the basic anatomy of the aortic valve allows us to better evaluate and diagnose patients with pathology. this blog provides the necessary steps to understanding, evaluating and measuring the structure that make up the aortic valve. The aortic valve is typically made up of three membranes (cusps) made up mainly of collagen; the valve is placed on a muscle ring and connected to the heart wall. This review demonstrates the inherent elegance coupled with complexity of the aortic valve apparatus (ava). understanding this could have important clinical and translational implications in optimizing the management of patients with aortic valve disease to enhance longevity and quality of life. Your aortic valve is one of your four heart valves. it opens when blood flows from the left side of your heart to your aorta.

Aortic Valve Anatomy Presentation Pptx
Aortic Valve Anatomy Presentation Pptx

Aortic Valve Anatomy Presentation Pptx This review demonstrates the inherent elegance coupled with complexity of the aortic valve apparatus (ava). understanding this could have important clinical and translational implications in optimizing the management of patients with aortic valve disease to enhance longevity and quality of life. Your aortic valve is one of your four heart valves. it opens when blood flows from the left side of your heart to your aorta.

Comments are closed.