Simplify your online presence. Elevate your brand.

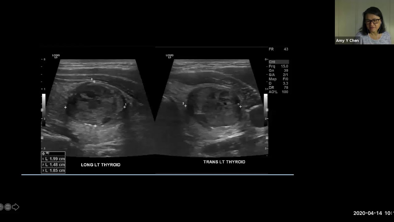
Thyroid Case Presentations Dr Amy Chen

Thyroid Case Presentations Dr Amy Chen Youtube
Thyroid Case Presentations Dr Amy Chen Youtube

Thyroid Case Presentations Dr Amy Chen Youtube April 14, 2020 zoom lectureentcovid.med.uky.edu. Precision medicine has changed everything for thyroid cancer treatment. gone are the days when everyone with a thyroid nodule or cancer diagnosis automatically had their entire thyroid removed.

Atlanta Thyroid Cancer Program City Of Hope
Atlanta Thyroid Cancer Program City Of Hope

Atlanta Thyroid Cancer Program City Of Hope Amy y. chen, m.d., m.p.h., m.b.a., f.a.c.s., is chief of surgery and medical director of the thyroid oncology program at city of hope ® cancer center atlanta. Dr. amy chen is a head and neck surgeon and director of thyroid oncology at city of hope in atlanta. learn about her background and experience with cancer patients. Pubmed® comprises more than 40 million citations for biomedical literature from medline, life science journals, and online books. citations may include links to full text content from pubmed central and publisher web sites. Amy y. chen, m.d., m.p.h., m.b.a., f.a.c.s., is chief of surgery and director of thyroid oncology at city of hope cancer center atlanta.

Thyroid Swelling Case Presentation Pdf Thyroid Common Carotid Artery
Thyroid Swelling Case Presentation Pdf Thyroid Common Carotid Artery

Thyroid Swelling Case Presentation Pdf Thyroid Common Carotid Artery Pubmed® comprises more than 40 million citations for biomedical literature from medline, life science journals, and online books. citations may include links to full text content from pubmed central and publisher web sites. Amy y. chen, m.d., m.p.h., m.b.a., f.a.c.s., is chief of surgery and director of thyroid oncology at city of hope cancer center atlanta. Chen is an established researcher, surgeon, and professor. board certified in otolaryngology since 1999, her clinical expertise is in thyroid cancer and head and neck endocrine surgery. Has anyone had her as their surgeon?. Provides in depth clinical reviews on thyroid and parathyroid disease, offering actionable insights for clinical practice. presents the latest information on this timely, focused topic under the leadership of experienced editors in the field. "should i be using molecular testing for all thyroid flus?" dr. brendan stack. "stridor: what's that shound, and where is it coming from?" dr. eric gantwerker. "slit: discussion of in office vs. fda approved tablets" dr. mona patadia. "practice patterns & controversies in pediatric trach decannulation" dr. chris azbell.

Thyroid Case Presentation Pdf
Thyroid Case Presentation Pdf

Thyroid Case Presentation Pdf Chen is an established researcher, surgeon, and professor. board certified in otolaryngology since 1999, her clinical expertise is in thyroid cancer and head and neck endocrine surgery. Has anyone had her as their surgeon?. Provides in depth clinical reviews on thyroid and parathyroid disease, offering actionable insights for clinical practice. presents the latest information on this timely, focused topic under the leadership of experienced editors in the field. "should i be using molecular testing for all thyroid flus?" dr. brendan stack. "stridor: what's that shound, and where is it coming from?" dr. eric gantwerker. "slit: discussion of in office vs. fda approved tablets" dr. mona patadia. "practice patterns & controversies in pediatric trach decannulation" dr. chris azbell.

Thyroid Case Presentation Multinodular Goitre Pptx
Thyroid Case Presentation Multinodular Goitre Pptx

Thyroid Case Presentation Multinodular Goitre Pptx Provides in depth clinical reviews on thyroid and parathyroid disease, offering actionable insights for clinical practice. presents the latest information on this timely, focused topic under the leadership of experienced editors in the field. "should i be using molecular testing for all thyroid flus?" dr. brendan stack. "stridor: what's that shound, and where is it coming from?" dr. eric gantwerker. "slit: discussion of in office vs. fda approved tablets" dr. mona patadia. "practice patterns & controversies in pediatric trach decannulation" dr. chris azbell.

Amy Chen City Of Hope
Amy Chen City Of Hope

Amy Chen City Of Hope

Comments are closed.