Simplify your online presence. Elevate your brand.

8 A4c Cardio Guide

Fat Loss Cardio Guide Pdf High Intensity Interval Training
Fat Loss Cardio Guide Pdf High Intensity Interval Training

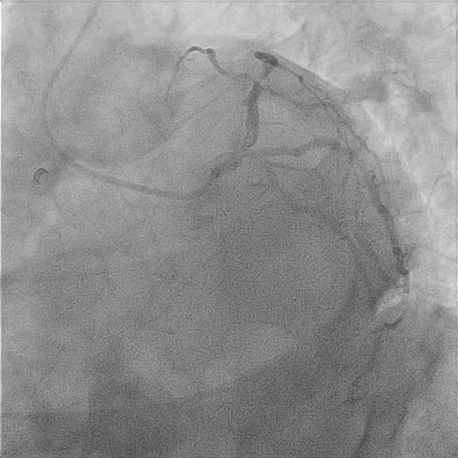
Fat Loss Cardio Guide Pdf High Intensity Interval Training Driving guidelines for arrhythmia syncope wide complex tachycardia – diagnosis wide complex tachycardia: management cardiac critical care aortic dissection cardiogenic shock cardiac tamponade. Developed through a rigorous review of medical literature, clinical practice guidelines define the role of diagnostic and therapeutic interventions—both noninvasive and invasive—in managing cardiovascular diseases.

Mr Case Cardio Guide
Mr Case Cardio Guide

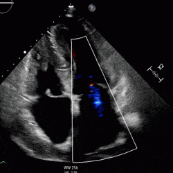
Mr Case Cardio Guide Acc produces clinical guidelines and policy to support clinicians, researchers, and policymakers in delivering high quality cardiovascular care. The document provides guidance on obtaining standard echocardiogram views for anesthesia point of care ultrasound, including the parasternal long axis (plax), parasternal short axis (psax), and apical 4 chamber (a4c) views. These guidelines, which are based on systematic methods to evaluate and classify evidence, provide a foundation for the delivery of quality cardiovascular care. We publish guidelines and related resources to support everyone involved in cardiovascular care. based on our guidelines, these documents explain diagnosis and treatment recommendations backed by evidence.

Search Videos Cardio Guide
Search Videos Cardio Guide

Search Videos Cardio Guide These guidelines, which are based on systematic methods to evaluate and classify evidence, provide a foundation for the delivery of quality cardiovascular care. We publish guidelines and related resources to support everyone involved in cardiovascular care. based on our guidelines, these documents explain diagnosis and treatment recommendations backed by evidence. Guidelines set the standards of care for the diagnosis, management and prevention of heart disease. here are key points you should know about them. (women pregnancy) 2018 esc guidelines for the management of cardiovascular diseases during pregnancy (women) 2011 aha effectiveness based guidelines for the prevention of cardiovascular disease in women (vt scd) 2017 aha acc hrs guideline for management of patients with ventricular arrhythmias and the prevention of sudden cardiac death. Life’s essential 8 includes the 8 components of cardiovascular health: healthy diet, participation in physical activity, avoidance of nicotine, healthy sleep, healthy weight, and healthy levels of blood lipids, blood glucose, and blood pressure. The “2023 aha acc accp aspc nla pcna guideline for the management of patients with chronic coronary disease” provides an update to and consolidates new evidence since the “2012 accf aha acp aats pcna scai sts guideline for the diagnosis and management of patients with stable ischemic heart disease” and the corresponding “2014 acc aha aats pcna s.

Search Videos Cardio Guide
Search Videos Cardio Guide

Search Videos Cardio Guide Guidelines set the standards of care for the diagnosis, management and prevention of heart disease. here are key points you should know about them. (women pregnancy) 2018 esc guidelines for the management of cardiovascular diseases during pregnancy (women) 2011 aha effectiveness based guidelines for the prevention of cardiovascular disease in women (vt scd) 2017 aha acc hrs guideline for management of patients with ventricular arrhythmias and the prevention of sudden cardiac death. Life’s essential 8 includes the 8 components of cardiovascular health: healthy diet, participation in physical activity, avoidance of nicotine, healthy sleep, healthy weight, and healthy levels of blood lipids, blood glucose, and blood pressure. The “2023 aha acc accp aspc nla pcna guideline for the management of patients with chronic coronary disease” provides an update to and consolidates new evidence since the “2012 accf aha acp aats pcna scai sts guideline for the diagnosis and management of patients with stable ischemic heart disease” and the corresponding “2014 acc aha aats pcna s.

Search Videos Cardio Guide
Search Videos Cardio Guide

Search Videos Cardio Guide Life’s essential 8 includes the 8 components of cardiovascular health: healthy diet, participation in physical activity, avoidance of nicotine, healthy sleep, healthy weight, and healthy levels of blood lipids, blood glucose, and blood pressure. The “2023 aha acc accp aspc nla pcna guideline for the management of patients with chronic coronary disease” provides an update to and consolidates new evidence since the “2012 accf aha acp aats pcna scai sts guideline for the diagnosis and management of patients with stable ischemic heart disease” and the corresponding “2014 acc aha aats pcna s.

Comments are closed.